Modern Non-Invasive Cardiac Tests for Early Detection and Monitoring

Non-invasive cardiac procedures are diagnostic tests and evaluations that assess heart health without entering the body or using surgical instruments. These techniques are safe, painless, and often used to detect early signs of heart disease, monitor existing conditions, and guide treatment plans. At Prathmesh Cardiac Institute, we offer a full range of non-invasive services including ECG, 2D and stress echocardiography, Holter monitoring, TMT, and advanced blood pressure monitoring. Our expert team ensures accurate diagnosis using the latest technology—all without the need for incisions or hospital stays.

ECG

ECG

Electrocardiogram records the electrical activity of the heart to detect rhythm abnormalities and cardiac conditions.

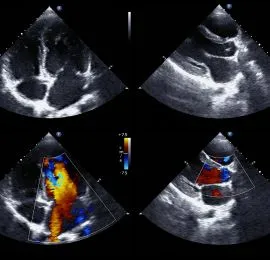
2D Echocardiography

2D Echocardiography

Ultrasound-based imaging test to evaluate heart structure, function, and detect abnormalities in real time.

Adult & Pediatric Echo

Adult & Pediatric Echo

Echocardiography tailored for both adults and children to assess heart conditions across age groups.

Holter Monitoring

Holter Monitoring

Continuous 24-48 hour ECG recording to detect irregular heart rhythms during normal daily activities.

TMT

TMT

Treadmill Test evaluates the heart’s response to physical exertion, often used for diagnosing coronary artery disease.

24-Hour BP Monitoring

24-Hour BP Monitoring

Tracks blood pressure over a full day to detect patterns, white coat hypertension, or nocturnal hypertension.

Stress/Contrast Echo

Stress/Contrast Echo

Combines echocardiography with physical stress or contrast agents to assess heart function under load or enhance imaging.

TEE

TEE

Transesophageal Echocardiography provides detailed images of the heart by placing an ultrasound probe in the esophagus.