Advanced Invasive Cardiac Procedures for Precise and Life-Saving Treatment

Invasive cardiac procedures involve entering the body—usually through blood vessels—to diagnose or treat heart conditions. Unlike non-invasive tests, these procedures allow direct access to the heart and blood vessels using specialized catheters, imaging technologies, and medical devices. At Prathmesh Cardiac Institute, we perform a wide range of invasive treatments such as angioplasty, device implantation, and valve interventions with high precision and safety. Backed by a state-of-the-art cathlab and a skilled team, our goal is to provide accurate diagnosis and effective treatment with minimal discomfort and maximum care.

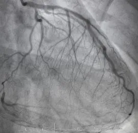
Angiography

Angiography

Imaging test using contrast dye and X-rays to view blood flow in arteries and detect blockages.

Angioplasty

Angioplasty

Minimally invasive procedure to open narrowed or blocked blood vessels using a balloon catheter.

Rota Angioplasty

Rota Angioplasty

Advanced angioplasty technique using a rotating burr to remove calcified plaque in arteries.

IVUS Guided Angioplasty

IVUS Guided Angioplasty

Uses intravascular ultrasound imaging to guide precise stent placement during angioplasty.

Failed Angioplasty

Failed Angioplasty

Management and revascularization strategies for previously unsuccessful angioplasty cases.

CTO Angioplasty

CTO Angioplasty

Specialized angioplasty for treating chronic total occlusions in coronary arteries.

Post CABG Angioplasty

Post CABG Angioplasty

Angioplasty performed after coronary artery bypass grafting to treat new or recurring blockages.

Peripheral Angioplasty

Peripheral Angioplasty

Opens narrowed arteries outside the heart, typically in the legs, to improve blood flow.

Renal Angioplasty

Renal Angioplasty

Treats narrowing of arteries supplying the kidneys to help control blood pressure and preserve function.

BAV

BAV

Balloon Aortic Valvuloplasty temporarily relieves aortic valve stenosis using a balloon catheter.

TAVI

TAVI

Transcatheter Aortic Valve Implantation replaces a diseased aortic valve without open-heart surgery.

BMV

BMV

Balloon Mitral Valvotomy opens a narrowed mitral valve, improving blood flow in patients with mitral stenosis.

EPS + RFA

EPS + RFA

Electrophysiology Study and Radiofrequency Ablation diagnose and treat abnormal heart rhythms.

ASD/VSD/PDA Device Closure

ASD/VSD/PDA Device Closure

Minimally invasive procedure to close congenital heart defects using special occluder devices.

Pacemaker

Pacemaker (Single & Dual Chamber)

Small device implanted under the skin to help regulate abnormal heart rhythms.

CRT/ICD Device

CRT/ICD Device

Devices that correct dangerous heart rhythms and improve heart function in heart failure patients.

Neuro Intervention

Neuro Intervention

Minimally invasive procedures to treat conditions like stroke, aneurysms, and vascular malformations in the brain and spine.